Estetica e faccette
Niente di ciò che indossi è più importante del tuo sorriso.
COSA FACCIAMO?
Una soluzione estetica per ogni imperfezione dei tuoi denti
Denti storti, denti larghi o gengive sporgenti
Se hai i denti storti (affollamento dentale) o i denti larghi (diastemi) o le gengive sporgenti (Gummy smile) qualora i denti siano sani sarebbe molto importante rispettarne l'integrità e prediligere il trattamento più conservativo possibile riorganizzando il corretto e armonioso allineamento della dentatura con l'ortodonzia.
Ma niente paura, non vi obbligheremo più a portare le stelline (Brackett), trattamenti eccezionali ma per molti considerati antiestetici , esistono validissime alternative plastiche che grazie alla loro trasparenza vengono facilmente utilizzate in ogni contesto.
Nel nostro studio è possibile trovare sia la tecnologia americana Invisaline che la validissima alternativa italica Spark.
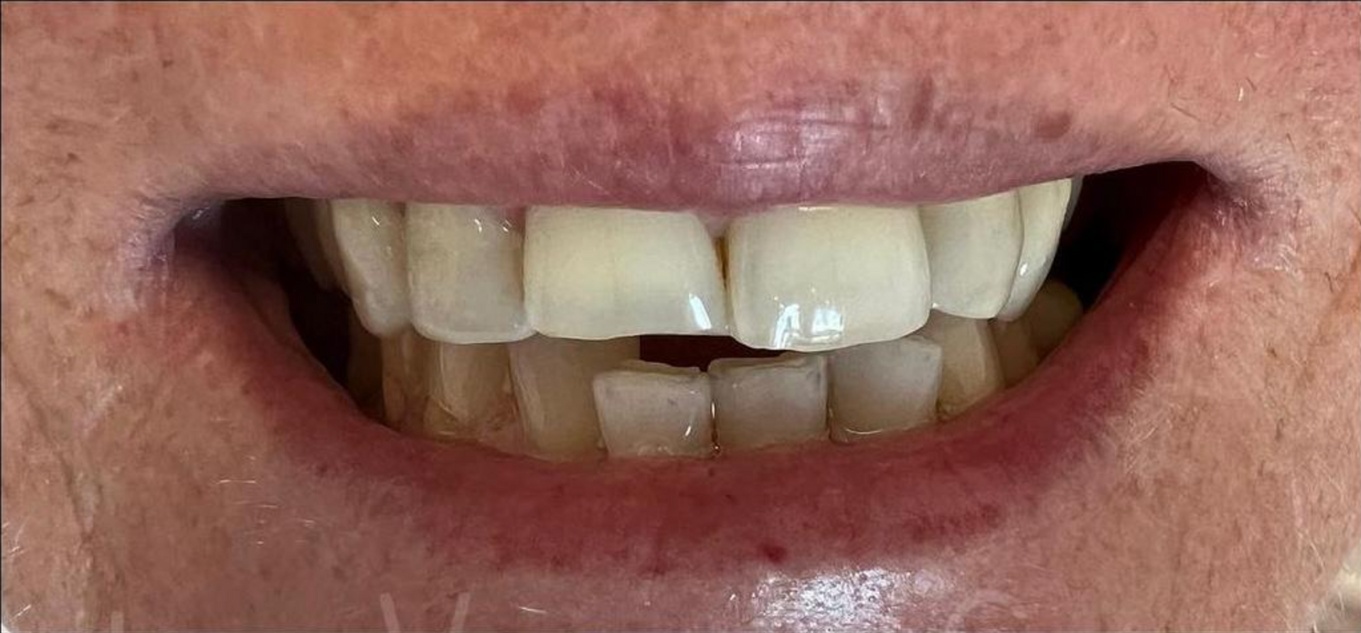
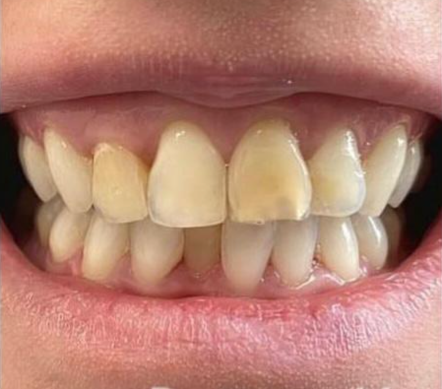
Denti macchiati
Per i denti macchiati può a volte essere sufficiente l'intervento delle nostre igieniste, coadiuvato se necessario dall'uso di sbiancamenti domiciliari o alla poltrona.
Macchie intrinseche e con forma anomala
Ma altre volte quando le macchie sono intrinseche o la forma anomala rende i denti brutti, il sorriso magico non è un miraggio ma può essere ottenuto con le faccette adesive.
Queste consistono in trattamenti microinvasivi che spesso richiedono preparazioni che intaccano minimamente il tessuto sano dei denti e garantiscono un risultato estetico dalla strabiliante naturalezza.
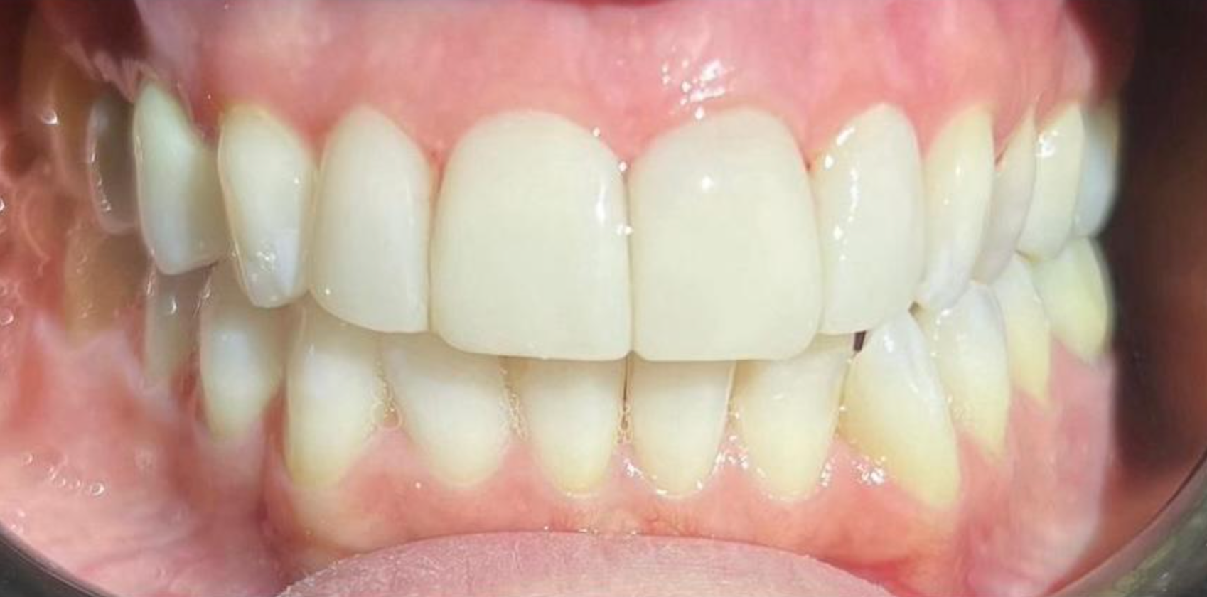
Faccette dentali
Non sei soddisfatto del tuo sorriso?
Le faccette dentali possono essere la soluzione. Sono delle sottili lamine in ceramica o composito che vengono applicate sui denti per correggere forma colore e posizione. La ceramica è il materiale d’elezione in quanto più resistente e più traslucente, dona al sorriso un aspetto più naturale e duraturo nel tempo.
Il composito è un materiale resinoso che si utilizza anche per le otturazioni. Il vantaggio è che è un materiale facilmente riparabile ed economico ma presenta caratteristiche di resistenza ed estetica inferiori rispetto alla ceramica. Non è da trascurare il fatto che il composito con il tempo, al contrario dei materiali ceramici, può tendere ad ingiallire.

Faccette in composito e maryland su incisivo laterale.

Faccette

Faccette

Faccette

Faccette

Faccette

Faccette

Faccette





